Programme
CYCLE 03
Notions avancées en dentisterie adhésive et esthétique
Traitements de la dent dépulpée
Introduction à la dent dépulpée
Les traitements chimiques des dyschromies de la dent dépulpée
Les restaurations partielles collées
Les restaurations périphériques
Perfectionnement Adhésion. Savoir coller sur tous les substrats
Les données fondamentales de l’adhésion
Le collage sur tous les substrats dentaires
Le collage à la céramique et au métal
Le collage sur les substrats complexes
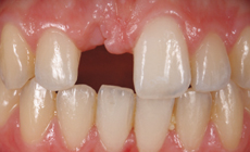
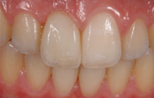
Le traitement de l'édentement unitaire antérieur par bridge collé cantilever
Problématique clinique de l’édentement unitaire
Les étapes préalables (communication avec l’orthodontiste, ovalisation de la crête édentée, choix de la géométrie du bridge collé)
Les préparations
L’assemblage
