Programme
CYCLE 02
3 jours de formation pour se perfectionner en esthétique
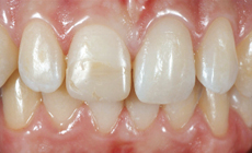
Maîtriser la stratification des composites
Comment sélectionner les adhésifs?
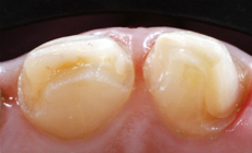
Quel type de composites choisir?
Quelle méthode de stratification dans le secteur antérieur?
Quelle méthode de stratification dans le secteur postérieurs?
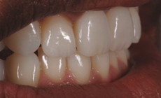
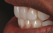
Maîtriser les facettes de céramiques
Facettes et biomimétique
Diagnostic et projet esthétique
Quelles préparations?
Comment sélection le matériau d’assemblage?
Prévisualisation numérique de la réalisation prothétique
Diagnostic esthétique
Les logiciels de prévisualisation
Les spectrophotomètres, les big datas de la couleur des dents
Les conséquences de ces données numériques sur le suivi des patients
