Programme
CYCLE 01
3 jours de formation pour se mettre à l'esthétique
Maîtriser les inlays/onlays
Quelles indications ?
Comment présenter les inlays/onlays à ses patients ?
Composite ou céramique ?
La préparation est-elle importante ?
Comment temporiser ?
Comment assembler ? Par scellement ? Par collage ?
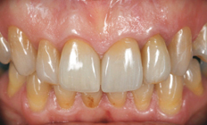
Maîtriser les couronnes céramo-céramiques
Quelle préparation ?
Comment communiquer avec son prothésiste ?
Quelles céramiques ?
Artisanales ou par CFAO ?
Quelles procédures et quels matériaux d'assemblage ?
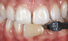
Données de base de macrophotographie.
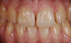
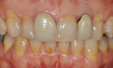
Prévention et traitements des MIH et des fluoroses
Diagnostic positif et différentiel des MIH
Les traitements du secteur postérieur
L’éclaircissement préalable pour le traitement des taches antérieure
L’érosion infiltration dans le secteur antérieur
